医院动态
北京天坛医院完成国内首例成人线粒体脑肌病无导线起搏器植入

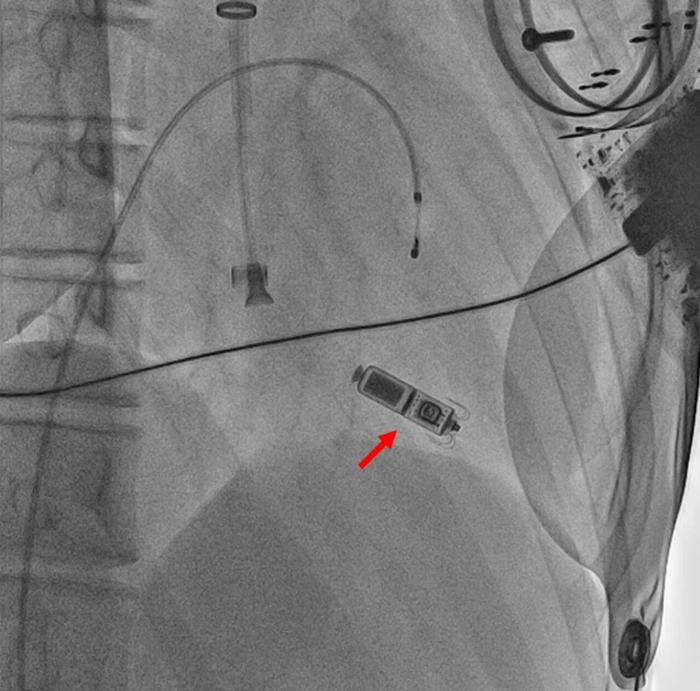
日前,首都医科大学附属北京天坛医院心脏及大血管病中心为一名罕见线粒体脑肌病合并心脏 Ⅲ 度房室传导阻滞的成人患者成功植入无导线起搏器,据悉,这也是国内首例此类成人患者接受无线起搏器植入的成功案例,填补了成人线粒体脑肌病无导线起搏器植入的空白。
北京天坛医院心内科主任闫朝武介绍,患者是一名22岁的男青年,因为乏力、黑矇、胸闷等症状到北京天坛医院就医,诊断为线粒体脑肌病累及心脏,心电图检查提示,患者Ⅲ 度房室传导阻滞,病情危重,即使持续使用药物,心率仍仅能维持在每分钟35-40次,血压60—70/40—50 mmHg,多次出现头晕、黑矇症状。经过多学科会诊评估,认为患者心脏性猝死风险极高,建议优先对心脏病变进行干预。“患者病情危重,有明确心脏起搏器植入指征,但棘手的是患者重度消瘦,体重指数仅有13.2(正常范围18.5~23.9),而且导致他房室传导阻滞的原因是线粒体脑肌病累及心脏所致,无法行传统起搏器植入治疗。”闫朝武说。



针对患者特殊的病情,闫朝武团队经过反复讨论,决定放弃传统手术方式,采用无导线起搏器为患者进行治疗。医院各部门高度重视此次手术,采购、临床等部门密切配合,快速完成手术所需的设备采购等,为这位患者开辟手术绿色通道,为抢救患者赢得时间。
由于目前国际上尚无成人线粒体脑肌病患者植入无导线起搏器的相关病例报道,闫朝武团队并无成熟经验可供借鉴,针对手术中可能出现的各类问题,团队制定了详细的应急预案。但让大家没想到的是,从手术一开始,挑战就接踵而至。“患者刚刚进入手术室,就突发心脏骤停,我们马上开展紧急抢救。”闫朝武介绍,手术团队为患者植入了临时起搏器,迅速稳定他的心率和血压,为后续手术奠定基础。在手术中,当团队尝试经过颈静脉植入无导线起搏器时,因为患者心肌病变严重,起搏器植入位点的选择又成了难题。经过3个多小时的精细操作,手术团队两次精准更换起搏器植入位点,最终成功完成植入。术后患者起搏心率稳定在50 次 / 分,血压恢复至 100/70 mmHg,乏力、头晕、黑矇等临床症状得到明显改善,生命体征趋于平稳,手术效果显著。


闫朝武介绍,线粒体脑肌病是线粒体病中备受关注的罕见类型,心脏作为高耗能器官,线粒体功能缺陷时极易出现心肌功能障碍,表现为心肌病合并传导阻滞,心脏传导阻滞更是该类患者的主要死因之一,起搏器植入成为预防患者猝死的核心治疗手段。希望通过这次手术的成功,为罕见病合并严重心律失常的治疗提供新的临床思路与实践范本,贡献“天坛经验”。他表示,未来,心脏及大血管病中心将继续秉持精准医疗理念,深耕前沿技术研发与应用,为更多疑难重症患者提供更优质、更前沿的医疗服务,守护患者生命健康。




















京公网安备111010602104056