医院动态
北京天坛医院胸外科团队精准“拆弹” 切除胸腔内巨大肿瘤
近日,北京天坛医院胸外科团队在多学科协作下,历经4小时,成功为患者完整切除左侧胸腔内直径近19厘米的巨大神经鞘瘤。此次手术的顺利完成,不仅彰显了北京天坛医院胸外科的精湛技术,更体现了多学科协作在疑难重症救治中的关键作用。
家中“顶梁柱”的杜先生,两个月前,左侧卧位时频繁出现心慌、胸痛等症状,当地医院检查后发现,其左后纵隔-胸腔内存在巨大占位性病变。进一步穿刺活检提示为“梭型细胞瘤,结合免疫组化考虑神经鞘瘤”,当地医院虽为其进行了射频消融治疗,暂时缓解了症状,但因肿瘤体积过大、位置特殊,手术切除难度极高,无法开展根治性治疗。
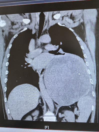
为寻求一线生机,杜先生通过熟人介绍并结合网上查询,慕名找到北京天坛医院胸外科主任医师杨增。医院胸CT检查结果令人揪心,成年人一侧胸腔宽度大约10-15厘米,而杜某的肿瘤直径近19厘米,占据了左侧多半个胸腔,把心脏和主动脉都挤偏了,原本竖直的主动脉已经弯到了右侧。再继续发展,一旦压迫到降主动脉,就会引发急性心衰,随时可能猝死。但更棘手的是,如果进行手术,该肿瘤为实性肿瘤,无任何囊变,血运极其丰富,且与左肺下叶致密粘连,甚至可能累及脊髓,手术中稍有不慎就可能导致心脏骤停、心律失常、大出血、截瘫等严重并发症。“不能因为风险高就放弃患者。”杨增了解情况后,当即决定将患者收入院。
面对这一复杂病例,胸外科迅速牵头,启动多学科协作机制,组织神经外科学中心、麻醉科、输血科、ICU、心内科、呼吸科等多学科专家进行联合会诊,一场针对杜先生的“生命护航计划”正式启动。
专家团队反复研讨,充分预判了手术中可能出现的大出血、心脏骤停、脊髓损伤、腹腔脏器损伤等一系列风险,制定了周密的手术方案和应急处置预案。为保障手术顺利,胸外科主任魏博给予大力支持,输血科主任张亚楠协调保障用血,同时麻醉科安排经验丰富的麻醉专家王德祥全程护航。
手术于当日上午9点多正式开始,采用扩大切口并切除一根肋骨以充分暴露手术视野。正如术前预判,手术过程异常艰难,肿瘤血运丰富,打开切口后便出现大量出血;肿瘤与左肺下叶紧密粘连,无法分离;在游离肿瘤根部时,因根部与脊髓相连,操作必须极其精准轻柔,避免损伤脊髓血管导致截瘫。整个手术过程中,杨增和胸外科副主任医师李维青带领团队精准操作。
经过4个多小时的紧张奋战,巨大肿瘤成功被完整切除,同时最大限度保护了脊髓、心脏、脾脏等重要器官。术后,杜先生在医护团队的精心照料下,未出现肺水肿、脊髓损伤、腹腔出血等并发症,生命体征平稳。“感觉身体一下轻松了好多,终于不用再担心了。”杜先生醒来后对医护人员表达了深深的感激。
“之所以愿意接手这样的手术,是出于医生强烈的责任感,患者年纪轻轻,他倒了一个家庭就倒了,实在不忍心放弃”杨增坦言,“而且基于咱们医院多学科协作的强大实力和充分的术前准备,我有信心。”
医疗的进步,正是在不断挑战复杂病例、突破传统禁区的过程中实现的。天坛医院胸外科用高尚的医德、精湛的技术、周密的预案和无私的担当,建立了医患互信、共同为患者的生命健康续航。























京公网安备111010602104056